Odborníci z Univerzitnej nemocnice ako štvrtí na svete a prví na Slovensku použili špeciálny komponent pri operácii

28.8.2025
0

Zdroj: FB UNB

Páčil sa vám článok?

Odborníci z Univerzitnej nemocnice Bratislava ako štvrtí na svete a prví na Slovensku použilišpeciálny komponent pri operácii.

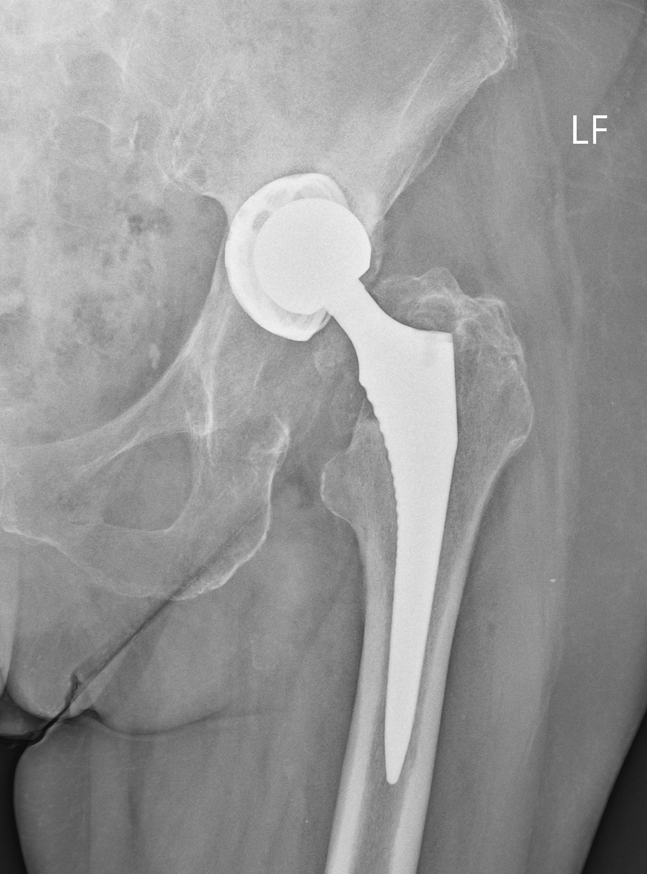
Ako nás informovala hovorkyňa nemocnice Katarína Kliská, tím II. ortopedicko – traumatologickej kliniky LF UK a UNB v Nemocnici sv. Cyrila a Metoda v Petržalke, pod vedením prednostu profesora Borisa Šteňa, uskutočnil inovatívnu operáciu, počas revízie totálnej endoprotézy bedrového kĺbu. Inovácia spočíva v implantácii revízneho modulárneho komponentu. Tento implantát novej generácie špeciálnych endoprotéz je určený pre operačnú liečbu zlyhaných endoprotéz pri rozsiahlych kostných defektoch. Išlo nielen o prvú operáciu na Slovensku, ale celkovo v poradí o štvrtú operáciu na svete s použitím tzv. „butress“ dlahy, vyrobenej z trabekulárneho titánu.

Operácii sa úspešne podrobila 81 ročná pacientka s rozsiahlym kostným defektom v oblasti po implantácii jamky totálnej endoprotézy. „S potešením môžem skonštatovať, že nám na pracovisku pri operačnej liečbe zlyhania totálnych umelých náhrad bedrových kĺbov pribudol inovatívny implantát. Máme tak k dispozícii viac možností na ošetrenie komplexných kostných defektov. Na rozdiel od predošlých implantátov, tieto vieme kombinovať ako čisto necementované alebo v kombinácii s kostným cementom a kostnými štepmi,“ uviedol Boris Šteňo, prednosta II. ortopedicko – traumatologickej kliniky LF UK a UNB.

Zdroj: UNB
Kĺb pred operáciou

​Rekonštrukcia veľkého kostného defektu na strane acetábula, teda v mieste implantácie jamky totálnej endoprotézy, býva vždy zložitá, niekedy žiaľ aj nemožná. Od tohto nového implantátu si odborníci sľubujú rozšírenie možnosti bezpečného použitia v revíznej endoprotetike, prípadne aj u pacientov po rozsiahlych kostných defektoch po zlomeninách panvy a acetábula.Tento revízny systém implantátov je v súčasnosti dostupný iba v ôsmich krajinách Európy, v Nemecku, Rakúsku, Taliansku, Portugalsku, Španielsku, Veľkej Británii, v Poľsku a odteraz už aj na Slovensku. Špeciálny implantát je v týchto krajinách k dispozícii v 19 centrách, používať ho môže iba 23 vybraných operatérov. Na ortopedicko-traumatologickom pracovisku v petržalskej nemocnici bol špeciálny implantát v priebehu posledných 10 dní, využitý pri operáciách u ďalších troch pacientov.

Zdroj: UNB
Kĺb po operácii

„Veľmi oceňujem snahu našich lekárov prinášať najmodernejšie spôsoby liečby z ktorých benefitujú najmä pacienti. V tomto prípade ide aj medzinárodný úspech, ktorý nás zaradil k svetovej špičke ortopedicko – traumatologických pracovísk,“ podotkol riaditeľ Univerzitnej nemocnice Bratislava Alexander Mayer.

(ts, ms)

Páčil sa vám článok?