„Môjmu psovi vybrali zo žalúdka osem špendlíkov!“ hovorí nešťastná psičkárka z Petržalky.

8.9.2022
0

Zdroj: Archív T. G.

Páčil sa vám článok?

Vo vnútrobloku na Wolkrovej 1-13 došlo nedávno k ďalšiemu pokusu ublížiť psom, ktorí sú pre mnohých doslova členmi rodiny. „Dávajte si pozor!“ varuje Petržalčanka Terézia Grešková a opisuje svoju desivú skúsenosť.

„V piatok 2.9.2022 pri rannom venčení naše dva psy, bedlingtonské teriéry Max a Barry v čase medzi 6:30 a 7:00 ráno zožrali voľne pohodenú návnadu vo vnútrobloku na Wolkrovej. Oba na povel „fuj“ návnadu pustili. Pri jej bližšom skúmaní sme zistili, čo okúsili. Klobásu obsahujúcu špendlíky, ktoré v nej boli napichané rôznymi smermi. Pri následnom hľadaní sme v okolí našli ešte ďalších šesť kusov takejto návnady na troch rôznych miestach v rámci vnútrobloku,“ hovorí.

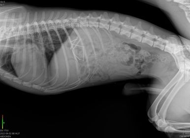
To, čo prežila následne, neželá žiadnemu psičkárovi. „Museli sme okamžite konať. Dohodli RTG vyšetrenie oboch psov vo veterinárnej nemocnici, kde sa ukázalo, že Max má v žalúdku osem špendlíkov a Barry jeden. Oba psy museli podstúpiť klinické vyšetrenia a operačný zákrok, gastrotómiu... Všetky špendlíky sa doktorom podarilo zo žalúdka vytiahnuť. V ten istý večer bola na RTG aj naša suseda, ktorej pes doma takisto vyvrátil špendlík, no našťastie ich v sebe už viac nemal.“

Zdroj: Archív T. G.

Na RTG snímke vidno špendlíky v tráviacej súsatve psa.

Terézia dala za operáciu a vyšetrenia vyše 1800 eur. Polícia by konanie páchateľa zrejme klasifikovala ako priestupok, a tam sú podľa veterinárneho zákona pokuty do 1000 eur. Ak by však zviera trpelo, hoci by nemuselo zomrieť, mohli by páchateľa obviniť aj z trestného činu v štúdiu pokusu.

Zdroj: Archív T. G.

Deväť špendlíkov, ktoré vybrali Maxovi a Barrymu zo žalúdka.

Terézia prípad na polícii odhlásila. Policajti priznali, že podobných hlásení majú viac. Vinníka však hľadajú ťažko a ťažko mu aj úmysel dokazujú. „Na sídlisku registrujem rôzne správy o podobných pokusoch. Pred pár rokmi v našom okolí zomrel pes na otravu. A na Jungmannovej vraj pátrali, kto to spravil cez kameru a zistili, že je to ich susedka. Tá na polícii povedala, že je vadia nezbierané exkrementy,“ hovorí Terézia. „Lenže pes nemôže za to, že má nevychovaného pána.“

Zdroj: Archív T. G.

V okolí našla pani Terézia ďalšie návnady so špendlíkmi.

Terézia hovorí, že na sídliskách sa potýkame s rôznymi problémami, nielen s exkrementmi. „ Ľudia doslova z okien vyhadzujú zvyšky jedla, prípadne chlieb, akože pre vtáky či mäso pre túlavé mačky. Len včera som pod stromami vyzbierala veľký rozkrájaný melón a rovno pod bránou špagety... Inokedy je to smotana a syr, sáčky od čaju, ktoré letia rovno cez balkón… Argument, že treba výcvikom zabrániť, aby psy jedli zo zeme všetko, čo nájdu, neobstojí. Rieši totiž následok a nie príčinu, ktorou je konanie spôsobujúce utrpenie zvieraťa. Riešiť svoju frustráciu z exkrementov tým, že do párkov či klobás vložím špendlíky, žiletky či otravu na potkanov, je ohavné.

Zdroj: Archív T. G.

Max a Barry po operácii.

„Ako reakciu na tento čin sme sa rozhodli zorganizovať zber odpadkov na našich sídliskách a vyjadriť tak našu starosť o bezpečie a čistotu nášho okolia. Chceli by sme vyzvať občanov Petržalky aby sa k nám pridali vo štvrtok dňa 22.9.2022 v čase medzi 17:00 h -19:00 h. Poďte s nami do ulíc či už v našom okolí Wolkrovej alebo kdekoľvek v Petržalke bývate a pomôžte nám symbolicky zbaviť naše prostredie špiny a neporiadku, pritom nezabudnite svojich susedov pozdraviť a prihovoriť sa im,“ vyzýva Terézia Grešková, ktorá za týmto účelom vytvorila na Fb aj event s názvom Petržalka - čisté a bezpečné sídlisko. Pridáte sa?
(in)

Páčil sa vám článok?